Blog

(3)Dental Veneers

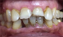
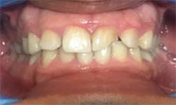
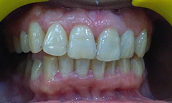
Before Treatment

After Treatment

Patient with a complaint of rotated upper left lateral incisors. Veneers placed for the treatment of the rotated upper left lateral incisors.

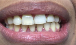
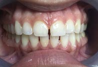
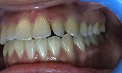
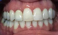
(4) Diastema Closure

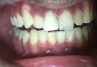
Before Treatment

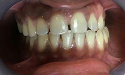
After Treatment

Patient with a complaint of a gap in between upper central incisors. Dental Veneers done to close the gap between the central incisors

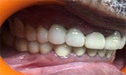
(5) Zirconia Crown

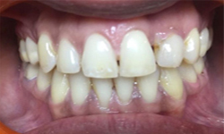
Before Treatment

After Treatment

The patient reported to the clinic with a discoloured upper lateral incisor. X Ray revealed that the tooth was root canal treated.Tooth preparation was done followed by premium zirconia crown thereby restoring the esthetics

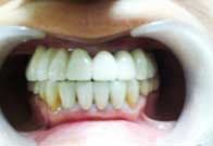
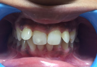
(6) Teeth Whitening

Before Treatment

After Treatment

Patient reported to us with the concern of Yellow teeth. Patient was conscious in social gatherings due to lack of confidence. Complete gum treatment and polishing was done for the patient followed by in office bleaching to achieve 2 shade whiter teeth. Home kit was a also delivered to the patient for maintenance as patient was coming from far.

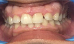
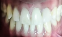
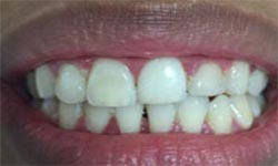
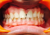
(7) Clinical Case-Veneer

Before Treatment

After Treatment

This female patient, with age 28 yrs came with a complaint of dirty teeth and an unaesthetic tooth in upper front left side of mouth. The patient has been treated with a thorough oral prophylaxis followed by veneering of the tooth.

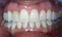
(8) Zirconia Bridges

Before Treatment

After Treatment

Patient came with missing upper right front tooth. With the support of two adjacent teeth,ZIRCONIA bridge were given to the patient.

(9) Metal Ceramic Crowns

Before Treatment

After Treatment

Before Treatment

After Treatment

Mr. Shiv Narayan Singh,aged 78yrs, came with a concern of multiple broken and mobile teeth with difficulty in chewing food. So, multiple RCTs followed by metal-ceramic crowns were delivered to the patient ,restoring his beautiful smile.

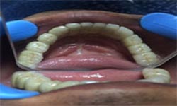
(10) Dental Implant - Full Mouth

Before Treatment

After Treatment

Before Treatment

After Treatment

Patient came with a problem in chewing food and multiple loose teeth in upper and lower jaw and was interested in getting a whole new set of teeth in both the jaws. So after removal of all the weakened teeth and placement of multiple implants, he was given implant supported bridge.


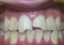
(11) Fractured Tooth

After Treatment

Before Treatment

After Treatment

This patient, Md. Zaid Siddiqui, age 17 yrs, had come with fractured upper left front two teeth and wanted to get them shaped up like before. A root canal treatment followed by special veneers k/a Componeers is done.

(12) Root Canal and Zirconia Crowns

Before Treatment

After Treatment

Patient had suffered anterior trauma resulting in fracture of upper front two teeth. Root canal was performed for upper front 5 teeth and Zirconia Crowns were placed restoring the function, shape, size of the tooth and natural smile line of the patient

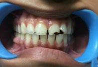
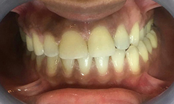
(13) Composite Veneers

Before Treatment

After Treatment

Fractured front tooth (central incisor) due to trauma in childhood. Composite veneers were performed restoring the cosmetics and functionality.

(14) Chair side Composite Veneers

Before Treatment

After Treatment

8 year old with both central incisors fractured during fall. Patient had high frenal attachment and midline diastemma. Chair side composite veneers were performed and teeth were restored back to normal.

(15) Bleaching Teeth/Teeth Whitening

Before Treatment

After Treatment

Patient Reported to the clinic with a chief complaint of yellow teeth. Teeth Whitening was performed and 2 shade whiter results were achieved.

(16) Case of Zirconia Crowns

Before Treatment

After Treatment

Patient Reported with fractured Central Incisor with pulpal involvement.Root Canal Treatment was done followed by Zirconia Crown.

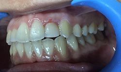
(17) Case of Dental Veneers

Before Treatment

After Treatment

Patient Reported with trauma resulting fracture of frontal tooth. Composite Veneers were done to restore the structure and shade of the tooth.

(18)

Before Treatment

After Treatment

Patient reported with missing teeth in lower jaw needing replacement 2 Dental Implants were placed and a Implant supported over denture was given with respect to lower jaw

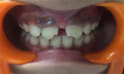
(19)

Before Treatment

After Treatment

Patient reported to us with malalignment of teeth seeking immediate and fast treatment. The case was treated through Inman Aligners taking upto 7 weeks for completion

(20)

Before Treatment

After Treatment

57 year old with anterior trauma and mobile frontal teeth treated with Root Canals and Zirconia Crowns

(21)

Dental Implant

Case of anterior trauma. Upper front incisors fractured Immediate Extraction followed by immediate Implant placement followed by Zirconia Crown.

(22)

Before Treatment

OPG (Pre Treatment)

After Areatment

OPG (Post Treatment)

Case of full mouth rehabilitation All teeth extracted Upper single complete denture and lower Implant supported denture

Child with anterior trauma with fractured upper ridge.The upper front tooth was fractured and asymptomatic in nature. composite veneer was performed for the same to restore the shape and structure of the tooth

Patient came to clinic with desire of replacement of ill fitting denture.Intraoral examination revealed resorbed ridges and was partially edentulous with hardly any teeth remaining.Complete denture was given with respect to upper jaw and tooth supported over denture with respect to the lower jaw so as to prevent ridge resorption and better retention.

Patient aged 69 years with no significant medical history reported to the clinic with chief complaint of missing teeth and discomfort in chewing.Dental implants were placed for the upper jaw followed by immediate denture and final prosthesis were fixed after 4 months.

(26) Implant Placement

When Patient Came To Us

After 1 Week of Implant Placement

After 1 Year of Implant Placement

Patient aged 69 years with no significant medical history reported to the clinic with chief complaint of missing teeth and discomfort in chewing.Dental implants were placed for the upper jaw followed by immediate denture and final prosthesis were fixed after 4 months.

(28)Dental Veneers For Teeth Gap Closure Treatment

Before Treatment

After Treatment

Patient reported with us with fractured crown involving the pulp. Since it was upper front tooth, patient was considered about his esthetics. After clinical examination and OPG, no periapical infection was revealed and post that root canal treatment was performed for the particular tooth followed by tooth preparation. Post the pre preparation, patient was given a zirconia crown for a more esthetic look.

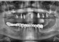
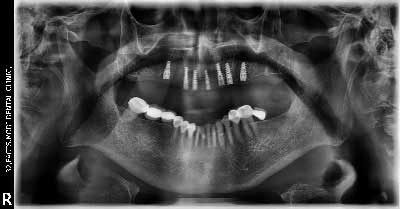
(29)

Before Treatment

After Treatment

Patient reported to our clinic with a dental concern in upper teeth. We had performed root canal treatments in upper teeth followed by fixed partial denture. Post the treatment due to bone loss upper teeth were extracted followed by Dental Implants. 6 Dental implants were placed in the upper jaw. 3 months period was followed allowing integration of implants to the bone ,post which prosthesis were delivered to the patient.

(30)

Before

Before

Before

After

After

After